Le cabinet : Votre santé avant tout

Un équipement moderne et du personnel qualifié : c'est ce que vous trouverez chez nous. Laissez-nous vous accueillir comme il se doit dans notre cabinet. Parcourez les pages suivantes pour en savoir plus sur nos médecins et les autres membres de notre équipe. Vous trouverez également toutes les informations sur nos horaires d'accueil, ainsi que de nombreux conseils et services utiles.

 

Galerie photos : quelques exemples des nombreux examens que nous réalisons.

Radiologie conventionnelle, Radiologie numérisée, radiologie 18e Radiologie conventionnelle numérisée
Radiologie conventionnelle, Radiologie numérisée, cabinet radiologie Radiologie conventionnelle numérisée
Panoramique dentaire, numérisé dentaire, radiologie dentaire Panoramique dentaire numérisé
Télécrâne numérisé, radiologie crâne, radiologie numérisée Télécrâne numérisé
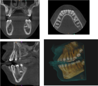
CÔNE BEAM
CÔNE BEAM
CÔNE BEAM
Echographie abdominale, Echographie pelvienne, Echographie urinaire Echographie abdominale,pelvienne,urinaire,prostatique
Echographie thyroïdienne, écho qualité, cabinet échographie Echographie thyroïdienne
Echographie ostéo-articulaire, Echo musculaire, Echo tendineuse Echographie ostéo-articulaire,musculaire et tendineuse
Echographie mammaire, cabinet médical, cabinet cohen Echographie mammaire
Echographie naissance, écho de grossesse ( datation ), cabinet cohen Echographie de grossesse ( datation )
Mammographie numérisée, mammographie qualité, médecine 18e Mammographie numérisée
Ostéodensitométrie, médecin cohen, échographie cabinet Ostéodensitométrie

Appel

Email

Plan d'accès